Ministerio de Ciencia e Innovación

Noticias

  • CIBERFES
    Celebrada la primera reunión de grupos del CIBERFES
    14/02/2017
    Celebrada la primera reunión de grupos del CIBERFES
  • CIBERER
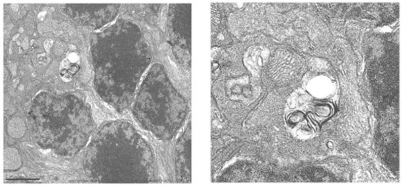
    La maquinaria autofágica podría ser una diana terapéutica en tratamientos oculares
    14/02/2017
    La maquinaria autofágica podría ser una diana terapéutica en tratamientos oculares
  • CIBERES
    Más de 80 investigadores participaron de la primera reunión en Hipertensión Pulmonar
    14/02/2017
    Más de 80 investigadores participaron de la primera reunión en Hipertensión Pulmonar
  • CIBERBBN
    Asparia Glycomics, la nueva Spin-off del CIC biomaGUNE
    13/02/2017
    Asparia Glycomics, la nueva Spin-off del CIC biomaGUNE
  • CIBERESP
    Alargar la lactancia favorece el desarrollo cognitivo del bebé y podría protegerle de rasgos autistas
    13/02/2017
    Alargar la lactancia favorece el desarrollo cognitivo del bebé y podría protegerle de rasgos autistas
  • CIBERER
    Generan modelos murinos con las principales características de la enfermedad de Niemann-Pick tipo C
    10/02/2017
    Generan modelos murinos con las principales características de la enfermedad de Niemann-Pick tipo C
  • CIBERSAM
    Más de 160 alumnos participan en el XIV Curso Intensivo de Introducción a la Investigación en Neurociencias
    09/02/2017
    Más de 160 alumnos participan en el XIV Curso Intensivo de Introducción a la Investigación en Neurociencias
  • CIBEROBN
    Glucosa o fructosa: nuevo estudio sobre el impacto del azúcar en el metabolismo y la salud cardiovascular
    09/02/2017
    Glucosa o fructosa: nuevo estudio sobre el impacto del azúcar en el metabolismo y la salud cardiovascular
  • CIBERES
    División de Genómica, nueva acción del ITER liderada por Carlos Flores
    09/02/2017
    División de Genómica, nueva acción del ITER liderada por Carlos Flores
  • CIBERDEM
    Alteraciones en la dinámica mitocondrial podrían estar asociadas con el envejecimiento y la diabetes
    09/02/2017
    Alteraciones en la dinámica mitocondrial podrían estar asociadas con el envejecimiento y la diabetes
  • CIBERER
    La Metformina, designada medicamento huérfano para la enfermedad de Lafora
    09/02/2017
    La Metformina, designada medicamento huérfano para la enfermedad de Lafora
  • CIBERCV
    La lisil oxidasa es una nueva fuente de estrés oxidativo asociado a la hipertensión
    09/02/2017
    La lisil oxidasa es una nueva fuente de estrés oxidativo asociado a la hipertensión
  • CIBERER
    La asociación de pacientes DEBRA Piel de Mariposa financiará la investigación y el diagnóstico genético en esta enfermedad
    08/02/2017
    La asociación de pacientes DEBRA Piel de Mariposa financiará la investigación y el diagnóstico genético en esta enfermedad
  • CIBERSAM
    Un artículo del grupo de Francesc Artigas calificado como “popular” por la Web of Science
    08/02/2017
    Un artículo del grupo de Francesc Artigas calificado como “popular” por la Web of Science
  • CIBERESP
    La contaminación procedente del tráfico disminuye la capacidad de atención de los niños a corto plazo
    07/02/2017
    La contaminación procedente del tráfico disminuye la capacidad de atención de los niños a corto plazo
  • CIBERBBN
    Desarrollan sistemas de bioimpresión 3D y biotintas para la regeneración de cartílago y hueso
    07/02/2017
    Desarrollan sistemas de bioimpresión 3D y biotintas para la regeneración de cartílago y hueso
  • CIBERDEM
    Descubren que el ARN no codificante regula la expresión de genes clave en la diabetes
    07/02/2017
    Descubren que el ARN no codificante regula la expresión de genes clave en la diabetes
  • CIBEREHD
    Rafael Bañares, vicedecano de Evaluación de la Calidad e Innovación de la Facultad de Médicina de la Complutense
    07/02/2017
    Rafael Bañares, vicedecano de Evaluación de la Calidad e Innovación de la Facultad de Médicina de la Complutense
  • CIBERBBN
    Luis Liz Marzán elegido miembro de la European Academy of Sciences (EURASC)
    06/02/2017
    Luis Liz Marzán elegido miembro de la European Academy of Sciences (EURASC)
  • CIBERES
    Nueva estrategia para prevenir con vacunas las infecciones respiratorias de adquisición hospitalaria
    06/02/2017
    Nueva estrategia para prevenir con vacunas las infecciones respiratorias de adquisición hospitalaria
  • CIBEREHD
    Primera guía internacional para el abordaje terapéutico de los pacientes con VHC y manifestaciones extrahepáticas con las nuevas terapias AAD
    06/02/2017
    Primera guía internacional para el abordaje terapéutico de los pacientes con VHC y manifestaciones extrahepáticas con las nuevas terapias AAD
  • CIBERFES
    Disponibles las presentaciones y vídeos de la jornada de disfagia CIBERFES-CIBEREHD
    03/02/2017
    Disponibles las presentaciones y vídeos de la jornada de disfagia CIBERFES-CIBEREHD
  • CIBEREHD
    Una investigación multicéntrica española evalúa la estrategia de suspender el tratamiento anti-TNF en pacientes con enfermedad inflamatoria intestinal
    02/02/2017
    Una investigación multicéntrica española evalúa la estrategia de suspender el tratamiento anti-TNF en pacientes con enfermedad inflamatoria intestinal
  • CIBERFES
    España lidera una iniciativa europea sobre prevención de la fragilidad
    02/02/2017
    España lidera una iniciativa europea sobre prevención de la fragilidad