Ministerio de Ciencia e Innovación

La aterosclerosis progresa de forma rápida en personas sanas a partir de los 40 años

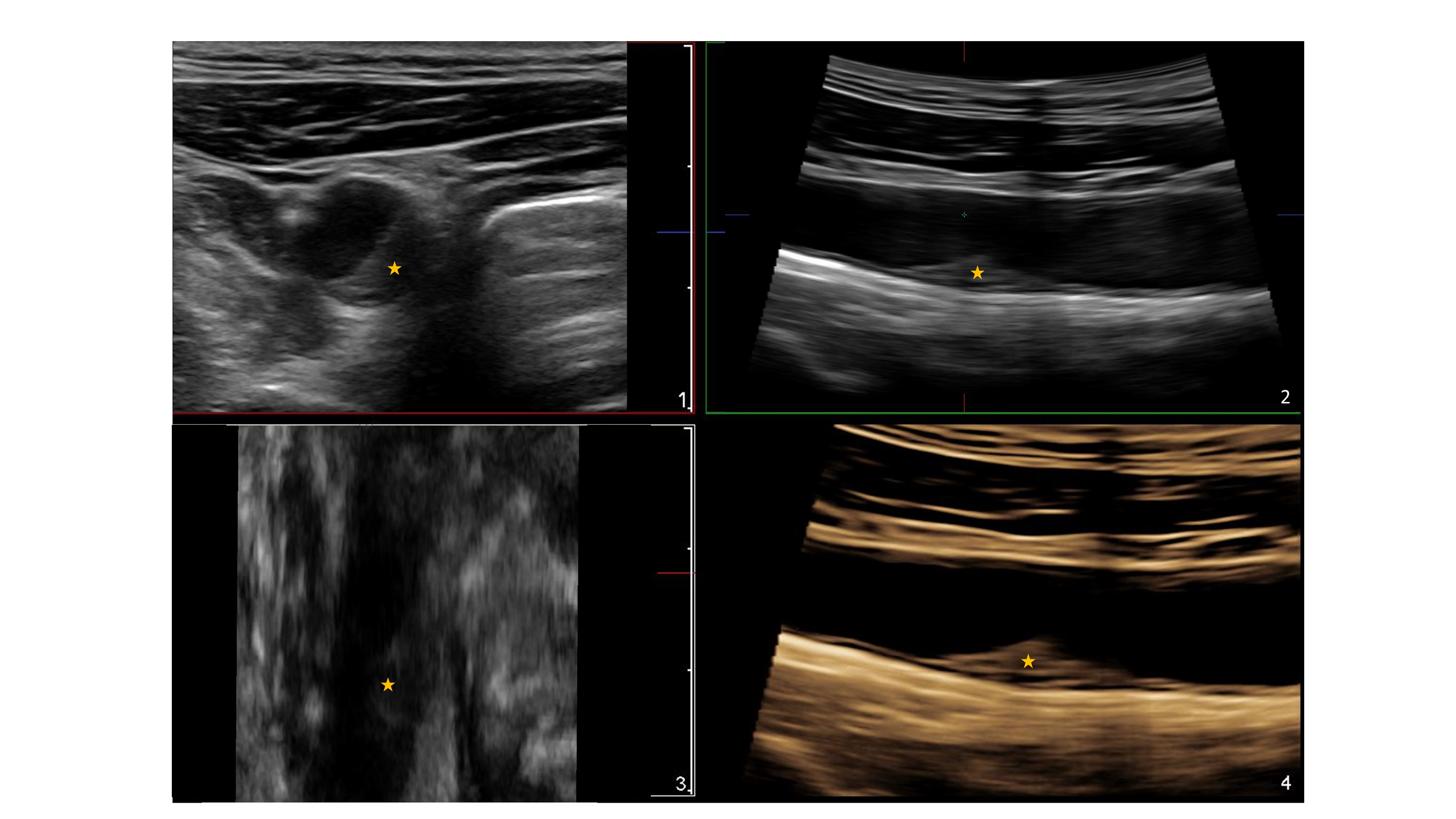
Imagen*
CNIC | miércoles, 8 de abril de 2020

Casi la mitad de las personas aparentemente sanas de entre 40 y 50 años podría estar desarrollando una acumulación de placas de grasa –ateroma- en las arterias y de una forma mucho más rápida de lo que se pensaba hasta ahora. La revista The Journal of American College of Cardiology (JACC) publicó nuevos datos del estudio PESA-CNIC-Santander que demuestran que las placas de ateroma se extienden rápidamente por las arterias de sujetos asintomáticos en el 40% de las personas entre 40 y 50 años.

Los investigadores han visto, además, que la progresión de la aterosclerosis está directamente relacionada con los factores tradicionales de la enfermedad cardiovascular: edad, sexo, hipertensión, colesterol, tabaco y diabetes. El estudio ha sido dirigido por Valentín Fuster, Director del CNIC e investigador principal del estudio PESA-CNIC-Santander y han participado investigadores del CIBERCV en el CNIC

El PESA-CNIC-Santander (‘Progresión de la aterosclerosis subclínica temprana’), estudio realizado en colaboración entre el CNIC y el Banco de Santander, incluye a 4.200 hombres y mujeres sanos de mediana edad que se están siguiendo mediante tecnología de imagen y biomarcadores sanguíneos de ómicas desde hace más de 10 años. El uso de técnicas de imagen no invasivas, asegura el Dr. Fuster, “nos permite identificar la progresión y detectar el avance de la enfermedad de forma más precoz que con otros marcadores clásicos, como la presencia de calcio coronario mediante TAC, permitiendo así adelantar la identificación de aquellos individuos con mayor riesgo y que se podrían beneficiar de intervenciones tempranas”.

Gracias a estas técnicas de imagen, especialmente las más sencillas, accesibles y que no necesitan radiación, como la ecografía vascular 2D y 3D, “podemos detectar y cuantificar la carga o el volumen de enfermedad aterosclerótica y monitorizarla de una forma precisa para así identificar a aquellos individuos que se puedan beneficiar potencialmente de una prevención más intensiva de forma precoz”, explica Borja Ibáñez, director de Investigación Clínica del CNIC e investigador y coordinador del programa 2 en el CIBERCV.

Las recientes Guías de Prevención Europeas 2019 reconocen la utilidad de la evaluación de la aterosclerosis con técnicas de imagen para evaluar el riesgo en los individuos más allá de los factores de riesgo convencionales -edad, sexo, hipertensión, colesterol, tabaco y diabetes-. “La técnica recomendada es el TAC de baja dosis de radiación, que evalúa la presencia de calcio en las arterias coronarias como dato indirecto de la presencia de placas de aterosclerosis. Pero, además, –indica el Dr. Ibáñez-, las Guías también ponen en valor la utilidad de la evaluación de la carga de aterosclerosis carotidea y femoral mediante la ecografía”.

Lo que ahora aporta el estudio que se publica en JACC es un seguimiento a 3 años del estudio PESA en el que se ha llevado a cabo la primera comparación directa entre ambos marcadores de riesgo en imagen, el calcio coronario por TAC y la carga de aterosclerosis carotidea y femoral por ecografía 2D/3D. Y los resultados, destaca la Dra. Beatriz López-Melgar, autora principal del artículo, “muestran que la ecografía de las arterias periféricas es capaz de detectar la progresión de la aterosclerosis de una forma más eficiente que el estudio del calcio coronario por TAC”.

Lo más habitual es que la enfermedad aterosclerótica -caracterizada por el depósito de sustancias lipídicas en las paredes de las arterias- se detecte en estadios avanzados, cuando ya ha provocado eventos clínicos como infarto de miocardio, accidente cerebrovascular u otros. El tratamiento de este tipo de patologías, cuando ya ha dado síntomas, resulta limitado ya que en un elevado porcentaje los individuos afectados ven disminuida su calidad de vida y, por otro lado, supone un elevado coste económico para el del sistema sanitario.

“Hasta este estudio, el primero que analiza la progresión de la aterosclerosis con intervalos frecuentes, se pensaba que esta enfermedad progresaba muy lentamente a lo largo de la vida. Sin embargo, en contra de esta idea, dicha progresión es muy rápida en un 40% de los casos analizados”, asegura el Dr. Ibáñez. En el futuro, añade, “podremos saber con los datos del estudio PESA si esta progresión tiene que ver con el desarrollo futuro de eventos cardiovasculares. Hasta ahora, la velocidad de progresión no había sido considerada a la hora de categorizar el riesgo de los individuos”.

Los investigadores del CNIC ya habían observado, en análisis previos del PESA, que la presencia de aterosclerosis es frecuente en individuos jóvenes y de mediana edad. “Con este estudio –asegura el Dr. Fuster- hemos determinado cómo progresa la aterosclerosis en sus etapas más iniciales, sin la presencia de síntomas”.

Un dato muy relevante del artículo, apunta la Dra. López-Melgar, es que, tras un corto periodo de seguimiento de apenas sólo 3 años, “el 40% de los individuos de entre 40 y 50 años de edad, presenta un avance importante de sus placas de aterosclerosis a distintos niveles, incluyendo las arterias carótidas, femorales o coronarias”. Para la autora del estudio, “este hallazgo podría tener consecuencias negativas futuras con respecto al desarrollo de síntomas o eventos clínicos como infartos o ictus”.

Los investigadores concluyen que, estos hallazgos, aunque deben ser validados en un futuro próximo con la presencia de eventos en la cohorte del PESA, son de gran valor para identificar estrategias que permitan prevenir la epidemia de la enfermedad cardiovascular.

*Imagen: 

Se muestra con asterisco la presencia de una placa de aterosclerosis avanzada en la carótida común detectada por la técnica de ecografía 3D que no llega a ocasionar una obstrucción significativa de la luz del vaso (es <50%). Se puede comprobar con precisión su extensión en las 3 dimensiones del espacio lo que nos permite detectar cambios en su volumen para determinar si existe un avance de la enfermedad.

Artículo de referencia

López-Melgar, B., Fernández-Friera, L., Oliva, B., García-Ruiz, J. M., Sánchez-Cabo, F., Bueno, H., . . . Fuster, V. (2020). Short-Term Progression of Multiterritorial Subclinical Atherosclerosis. Journal of the American College of Cardiology, 75(14), 1617-1627. doi:https://doi.org/10.1016/j.jacc.2020.02.026