Ministerio de Ciencia e Innovación

Identifican dos nuevos genes implicados en enfermedades del desarrollo del cerebro

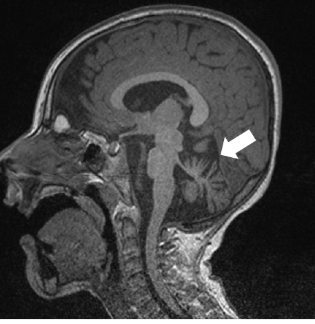
La resonancia magnética de un paciente de 4 años con una mutación en el gen CHRM1 muestra una atrofia del cerebelo (flecha).
CIBER | miércoles, 7 de julio de 2021

Raúl Estévez, jefe de grupo de la U750 CIBERER en la Universitat de Barcelona, ha participado en dos investigaciones que han permitido identificar los genes responsables de dos tipos de enfermedades del desarrollo del cerebro.

Por un lado, el Dr. Estévez ha participado en una investigación coordinada por Pankaj B. Agrawal, del Boston Children’s Hospital, publicada en la revista American Journal of Human Genetics. En este estudio, se han identificado mutaciones en pacientes con defectos en el desarrollo del cerebro en el gen CLCN3, que codifica para un intercambiador de aniones de la familia CLC que se localiza en los endosomas. En 11 familias se han identificado mutaciones en homozigosis que provocarían perdida de función, pero también mutaciones de novo en heterozigosis. El análisis funcional de algunas de estas mutaciones ha mostrado que presentan un incremento de actividad y perdida de la inhibición a pH ácido.

Por otro lado, Raúl Estévez y Alfons Macaya, del Grupo Clínico Vinculado al CIBERER en el Hospital Vall d’Hebron, han liderado un estudio publicado en la revista Human Mutation que ha identificado mutaciones en pacientes con problemas del desarrollo cerebral en el gen CHRM1, que codifica para el receptor muscarinico M1. El análisis de una de las mutaciones ha mostrado que el receptor mutado presenta una activación defectiva de sus vías de señalización. Estos datos sugieren que una reducción en la señalización muscarínica afecta el desarrollo cerebral.

 

Artículos de referencia:

“Unique variants in CLCN3, encoding an endosomal anion/proton exchanger, underlie a spectrum of neurodevelopmental disorders”. Anna R. Duncan et alii. American Journal of Human Genetics

DOI: 10.1016/j.ajhg.2021.06.003

“Muscarinic Acetylcholine Receptor M1 mutations causing neurodevelopmental disorder and epilepsy”. Anna Marcé-Grau, Xabier Elorza-Vidal, Carla Pérez-Rius, Anna Ruiz-Nel·lo, Júlia Sala-Coromina, Elisabet Gabau, Raúl Estévez, Alfons Macaya. Human Mutation

DOI: 10.1002/humu.24252